2 CEU
High-quality dental radiographs are essential for accurate diagnosis and treatment planning. They provide detailed, distortion-free images with optimal density and contrast. Achieving consistent quality requires team members to ensure proper positioning, exposure, and processing during image acquisition.

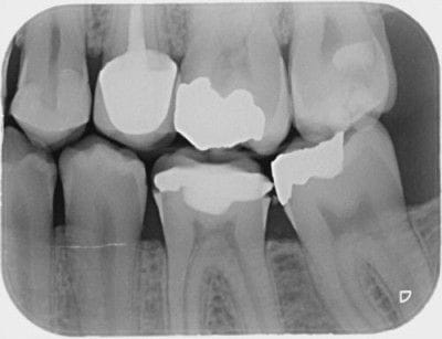
High quality dental radiography images are vital to both patients and clinicians, contributing directly to diagnosis and treatment planning. Quality radiographs feature maximum detail to resolve fine objects. The images accurately show the teeth and anatomic structure without distortion or magnification. They also exhibit density and contrast further improving a dentist's ability to diagnose and treatment plan. To ensure the dentist receives high quality radiographs every time, team members must focus on proper positioning, exposure, and processing during the acquisition process.
Radiation is extremely dangerous. So, it’s essential that dental assistants have a complete knowledge and understanding of how radiation works and know the proper protection from harmful rays for both the patient and dental staff.
Digital radiography facilitates storage and easy access for image viewing. A digital image can be stored in the computer, printed, or sent electronically in instances of referral or insurance claims. Digital imaging is an integral part of a complete electronic record without the need for physical storagespace and fear that the images will be damaged or destroyed.
Chairside Assisting
Comprehensive, flexible dental assistant education—blending on-demand courses with real-world, hands-on training. Founded by Shannon Pace Brinker, CDA. Trusted by thousands.

Copyright © 2026